
簡要描述:Iba1(Ionized calcium-binding adapter molecule 1)是分子量約為17 kDa的鈣結合蛋白。由于Iba1在中樞神經系統中特異性表達1),因此被用作小膠質細胞標記物。它在靜息型小膠質細胞和活化型小膠質細胞中均有表達,但有報告稱在活化型小膠質細胞中其表達會有所增加2)。
產品型號
廠商性質
更新時間
瀏覽次數
技術文章
| 品牌 | 其他品牌 | 供貨周期 | 一個月 |
|---|
抗Iba1, 重組兔源單克隆抗體(6A4)
Anti Iba1, Rabbit Monoclonal Antibody (6A4), recombinant
Iba1(Ionized calcium-binding adapter molecule 1)是分子量約為17 kDa的鈣結合蛋白。由于Iba1在中樞神經系統中特異性表達1),因此被用作小膠質細胞標記物。它在靜息型小膠質細胞和活化型小膠質細胞中均有表達,但有報告稱在活化型小膠質細胞中其表達會有所增加2)。另外,也會在外周組織的巨噬細胞中表達,被稱為AIF-1(Allograft inflammatory factor-1,同種異體移植物炎癥因子1)。Iba1在細胞內與F-肌動蛋白結合,發揮著形成肌動蛋白纖維束的作用。這種肌動蛋白纖維束的形成被認為是在細胞遷移和吞噬過程中觀察到的細胞膜波動結構形成所必須的3)。
抗Iba1, 重組兔源單克隆抗體(6A4),是針對小膠質細胞標記分子Iba1的兔源單克隆抗體??色@得與小膠質細胞標記物標準抗體Iba1兔多抗(產品編號:019-19741)相同的染色圖像。此外,在小鼠視網膜的免疫組織染色中也取得了良好的效果。
◆特點
● 性能與本公司的兔源多克隆抗體相同
● 低濃度(1:200-1:10,000)可染色
● *最佳濃度需探討
● 擁有為小鼠視網膜免疫組織染色的實例
◆抗體信息
抗體種類 | 單克隆抗體 |
抗原 | Iba1合成肽(C末端序列相同) |
免疫動物 | 兔 |
緩沖液 | PBS(50%甘油),0.05%NaN3 |
濃度 | 1.0-1.2 mg/mL |
標記 | 無標記 |
交叉性 | 小鼠,大鼠 |
應用 | 免疫組織染色(冰凍切片) 1:200-10,000 |
外觀 | 液體 |
◆性能數據
與本公司常規產品(兔源多克隆抗體)的比較
多克隆抗體 | 單克隆抗體 (產品編號:018-28523) | |
物種:大鼠 部位:大腦皮層 樣品:冰凍切片 稀釋率:1:200
<數據提供> 創價大學 糖鏈生命系統融合研究所 中嶋老師 |
與A公司抗體(兔源單克隆抗體)比較
A公司抗體 (兔源單克隆抗體) | 單克隆抗體 (產品編號:018-28523) | |
物種:小鼠 部位:大腦皮層 樣品:冰凍切片 稀釋率:1:1,000 |
◆應用數據
免疫組織染色(小鼠)
| 物種:小鼠 部位:大腦皮層 樣品:冰凍切片 稀釋率:1:1,000 | ![]() | 物種:小鼠 部位:大腦皮層 樣品:冰凍切片 稀釋率:1:200 <數據提供> 山梨大學 醫學部 藥理學實驗室 小泉老師 |
| 物種:小鼠 部位:大腦皮層 樣品:冰凍切片 稀釋率:1:200 備注:冰凍切片制備 → PFA 固定 <數據提供> 大阪大學 大學院醫學系研究科 綜合藥理學 稻生老師 |
| 物種:小鼠 部位:大腦皮層 樣品:冰凍切片 稀釋率:1:1,000 <數據提供> 京都大學大學院 工學研究科 浜地研究室 野中老師 |
| 物種:小鼠 部位:大腦皮層 樣品:冰凍切片 稀釋率:1:1,000 <數據提供> 順天堂大學 醫學部 神經生物學?形態學實驗室 伊藤老師 |
| 物種:小鼠 部位:大腦皮層 樣品:冰凍切片 稀釋率:1:1,000 <數據提供> 筑波大學 分子神經生物學 鶴田老師 上田老師 |
| 物種:小鼠 部位:大腦皮層 樣品:冰凍切片 稀釋率:1:1,000 <數據提供> S大學 O老師 |
| 物種:小鼠 部位:大腦皮層 樣品:冰凍切片 稀釋率:1:1,000 <數據提供> R研究所 Y老師 |
| 物種:小鼠(APPNL-F/NL-F) 部位:大腦 樣品:固定組織切片 稀釋率:1:200 備注:通過AbScale法進行透明化 <數據提供> 國立研究開發法人理化學研究所 細胞功能探索技術研究小組 濱老師 |
| 物種:小鼠(阿爾茨海默病模型) 部位:大腦皮層 樣品:冰凍切片 稀釋率:1:500 <數據提供> 名古屋大學大學院 醫學系研究科 功能組織學 小西老師 |
| 物種:小鼠(Focal Stroke模型) 部位:大腦皮層 樣品:石蠟切片 稀釋率:1:500 <數據提供> C大學 M老師 |
| 物種:小鼠(神經元蠟樣脂褐質沉積癥模型) 部位:大腦皮層 樣品:石蠟切片 稀釋率:1:500 <數據提供> J大學 T老師/S老師 |
| 物種:小鼠 部位:海馬體 樣品:冰凍切片 稀釋率:1:1,000 <數據提供> A大學 F老師 |
| 物種:小鼠(APPNL-G-F) 部位:海馬體 樣品:冰凍切片 稀釋率:1:1,000 <數據提供> 東京大學大學院 藥學研究科 機能病態學教室 高虎老師 |
| 物種:小鼠 部位:腦干(三叉神經感覺主核) 樣品:薄片切片 稀釋率:1:500 備注:通過Scale法進行透明化 <數據提供> 東京女子醫科大學 醫學部 生理學系 植田老師 |
| 物種:小鼠 部位:視網膜(術后) 樣品:冰凍切片 稀釋率:1:500 <數據提供> 愛知醫科大學 生理學系 林老師 |
| 物種:小鼠 部位:視網膜(Flat-mount) 樣品:冰凍切片 稀釋率:1:2,000 <數據提供> 東京大學 醫學部附屬醫院 渡邊老師 巖川老師 |
| 物種:小鼠 部位:視網膜(Flat-mount) 稀釋率:1:1,000 <數據提供> 東京大學 醫學部附屬醫院 渡邊老師 巖川老師 |
正常
| 激活誘導 | 物種:小鼠 部位:視網膜(Cross-section) 樣品:冰凍切片 稀釋率:1:2,000 <數據提供> 東京大學 醫學部附屬醫院 渡邊老師 巖川 老師 | |
| 物種:小鼠 部位:脊髓 樣品:冰凍切片 稀釋率:1:2,000 <數據提供> 東京理科大學 生命生物科學科 萩原老師 澤田老師 |
| 物種:小鼠 部位:腰脊髓 樣品:冰凍切片 稀釋率:1:2,000 <數據提供> 九州大學 神經內科 高瀨先生 |
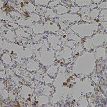
| 物種:小鼠 部位:肺 樣品:石蠟切片 稀釋率:1:1,000 <數據提供> N大學 K老師 |
大鼠
| 物種:大鼠 部位:大腦皮層 樣品:冰凍切片 稀釋率:1:1,000 |
| 物種:大鼠 部位:大腦皮層(內側前額葉皮層) 樣品:冰凍切片 稀釋率:1:1,000 <數據提供> 香川大學 醫學部 形態?機能醫學系 神經機能形態學 太田老師 |
免疫細胞染色
| 細胞種類:SIM-A9 稀釋率:1:200 <數據提供> T大學 I老師 |
流式細胞術
使用BD Cytofix/Cytoperm™ Fixation/Permeabilization Kit (BD Biosciences, 554714) 固定和透化處理小膠質細胞系 BV-2 細胞。然后添加Buffer或Isotype control或本抗體,再添加PE標記二抗(SouthernBiotech,4030-09),最后使用流式細胞術檢測熒光標記的細胞。

【結果】
使用抗Iba1抗體和流式細胞術可以檢測固定和透化處理的BV-2 細胞。
◆用戶使用反饋
FUJIFILM Wako收集了在2023年3-5月舉辦的“抗 Iba1 兔單克隆抗體樣品派發活動"中研究人員對樣品的使用評價。以下公布研究人員的問卷調查結果。
評估問卷 答復者:33 人(截止2023 年 7 月 21 日)
Q.對該抗體的滿意度

| Q.今后愿意繼續使用本產品嗎? | Q.和目前正在使用的抗Iba1抗體相比如何? |
![]() | ![]() |
用戶反饋(原文翻譯) 同意公布其反饋意見的所有人員名單如下
綜合評價 | 所屬單位 | 姓名 | 反饋意見 |
滿意 | 大阪大學 大學院醫學系研究科 綜合藥理學 | 稻生大輔老師 | 目前,由于實驗原因,染色的條件為 "制備未固定冰凍切片 → PFA 固定 "(部分神經科學領域使用的抗體通過上述的Protocol可獲得良好的染色效果,因此最近常用于超分辨率成像)。根據該Protocol進行染色時,使用之前常用的多克隆抗體染色的效果不佳,但6A4卻能很好地染色。所以,我認為6A4是非常有用的抗體。 |
滿意 | 京都大學大學院 工學研究科 浜地研究室 | 野中洋 老師 | 染色結果與常規的多克隆抗體(FUJIFILM Wako)相比毫不遜色。 |
滿意 | 近畿大學 理工學部 發生生物學研究室 | 駒田致和 老師 | 染色效果很好,但是現有產品及其他公司產品的染色效果也很好,因此無法看出它們間的區別。 |
滿意 | 東京女子醫科大學 醫學部 生理學講座 | 植田楨史 老師 | 本次大腦切片染色時配合使用Scale法進行組織透明化,與其他用于免疫染色的抗體相比,顯示出更好的組織滲透性。對比迄今為止使用的兔和山羊多克隆抗體(FUJIFILM Wako)也毫不遜色。 |
滿意 | 長崎大學 藥學部 基因組學與制藥學 | 城谷圭朗 老師 | 非常好,小膠質細胞的形態清晰可見 |
滿意 | 兵庫醫科大學 腦神經外科 | 武田由紀 老師 | 與其他產品相比無差別 |
滿意 | 理化學研究所 細胞機能探索技術研究小組 | 濱裕老師 | 從穩定供應的角度出發,兔源單克隆納入產品陣容是可以理解的,但是考慮到多重染色變化的靈活性,我希望能看到更豐富的小鼠單克隆產品陣容。 |
滿意 | A大學 | F老師 | 使用成年小鼠大腦的冷凍切片進行熒光免疫染色時,背景低,小膠質細胞延伸出的細小突起也清晰可見,染色效果好。 |
滿意 | C大學 | M老師 | 染色效果清晰。 |
滿意 | J大學 | T老師和S老師 | 與傳統的兔源多克隆 Iba1 抗體(可能是常見批次)相比,信號大致相同,但沒有那么強烈。 |
滿意 | K大學 | O老師 | 目前,我們正在使用兔源多克隆抗體(019-19741)評估大鼠的大腦皮層小膠質細胞的突起長度和分支數,已確認染色效果基本相同??紤]到各批次數據的穩定性,單克隆抗體更具優勢,因此我認為這次替換十分有意義。 |
滿意 | N大學 | K老師 | 由于獲得了非常有趣的數據,目前正在進行更多的實驗。 |
滿意 | T大學 | H老師 | 染色結果與多克隆抗體一致真是太好了。 |
滿意 | T大學 | I老師 | 使用小鼠小膠質細胞 SIM-A9 進行了免疫染色。 由于我們還沒有進行詳細的研究,所以我們不能透露關于細胞固定方法等的任何信息,但能夠獲得良好的陽性圖像。 |
一般滿意 | 愛知醫科大學 生理學系 | 林壽來 老師 | 在激光手術后的小鼠眼部切片中觀察到了小膠質細胞染色。 |
一般滿意 | 順天堂大學 醫學部 神經生物學/形態學實驗室 | 伊藤祥吾 老師 | 使用該抗體能順利染色小膠質細胞,但我認為貴公司的兔源多克隆抗體(019-19741)能更好地檢測小膠質細胞的突起。 |
一般滿意 | 東京大學大學院 藥學系研究科 機能病態學教室 | 高島翔 老師 | 已確認其性能與常規的多克隆抗體相當。 |
一般滿意 | 名古屋大學大學院 醫學系研究科 機能組織學 | 小西博之 老師 | 能染色,但信號強度不如 FUJIFILM Wako多克隆抗體。 |
一般滿意 | 山梨大學 醫學部 藥理學系 | 小泉修一 老師 | 能獲得清晰的染色圖,但感覺需要比多克隆抗體更高的濃度。免疫染色圖像不遜色于之前的多克隆抗體。 |
一般滿意 | H大學 | M老師 | 巨噬細胞標志物的整體染色效果并不理想,也無法判斷該抗體是特異性還是非特異性,還需要進一步探討。 |
一般滿意 | K大學 | N老師 | 可以獲得不遜色于之前一直使用的多克隆抗體的染色圖像,我很滿意。 |
一般滿意 | K大學 | T老師 | 使用該抗體對小鼠腰脊髓的冰凍切片進行了免疫熒光染色??贵w結合性很強。 |
一般滿意 | R研究所 | Y老師 | 它顯示出與之前使用過的FUJIFILM Wako#019-19741相同的反應性,能夠滿足于組織染色。 |
一般滿意 | S大學 | O老師 | 與之前一直使用的多克隆兔源Iba1相比,感覺多克隆更強些,但使用沒有問題。 |
一般滿意 | T大學 | M老師 | 目前還尚未發現與多克隆抗體的差異。 |
一般滿意 | W大學 | O老師 | 陽性率與兔源多克隆抗體Iba1相同。兔源多克隆的信號更強。 |
◆相關產品
點擊此處查看相關產品系列:小膠質細胞標記物抗體——Anti Iba1抗體
點擊此處下載相關產品的產品宣傳頁:小膠質細胞研究用試劑
| 產品編號 | 產品名稱 | 產品規格 | 產品等級 | 備注 |
| 012-28521 | Anti Iba1, Rabbit Monoclonal Antibody (6A4), recombinant 抗Iba1,重組兔源單克隆抗體(6A4) | 20 μL | 免疫化學用 | - |
| 018-28523 | Anti Iba1, Rabbit Monoclonal Antibody (6A4), recombinant 抗Iba1,重組兔源單克隆抗體(6A4) | 100 μL | 免疫化學用 | - |